釉質牙體技術所-牙技所,牙齒修復,台北牙技所,台北牙齒修復,萬華牙技所
關於釉質
About
服務項目
Service
聯絡我們
Contact
最新案例
CASES
案例分享
案例分享
首頁
>
最新案例
>
案例分享
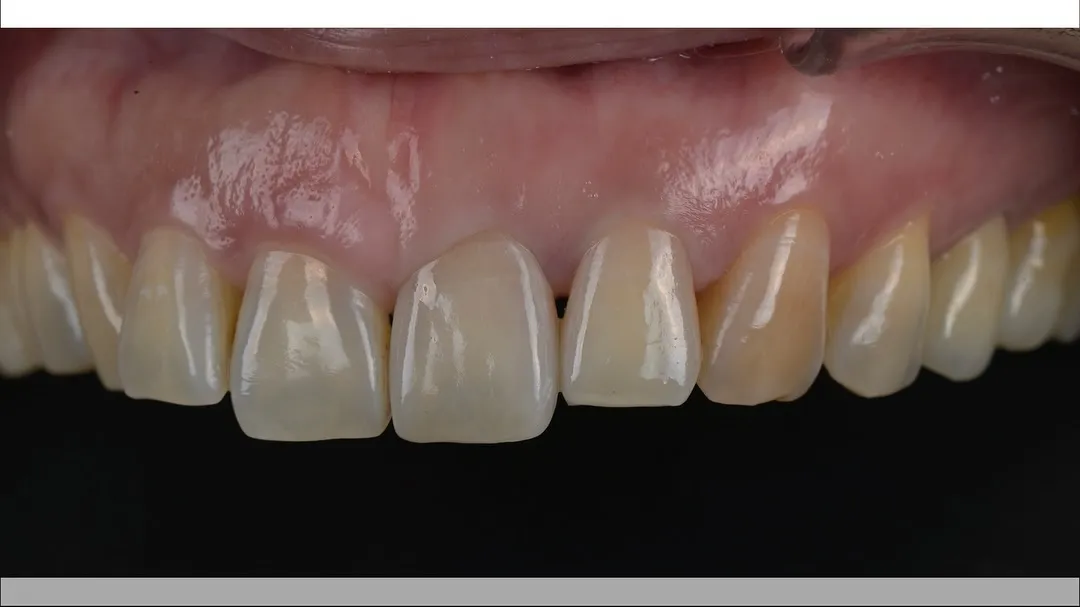
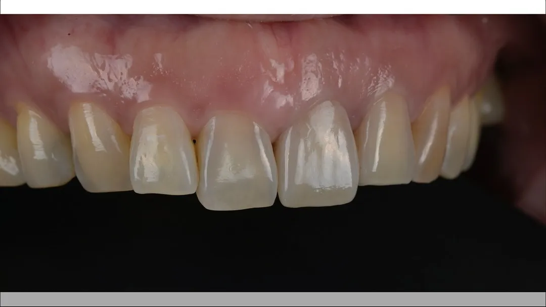
> labial side layering
最新案例
CASES
案例分享
labial side layering
分享到
labial side layering
-
每一組都承載我們的用心
把心意放進每一次製作
#zirconia
#牙科
#歯科
#dental
#歯科技工
#釉質
#noritake
上一篇
回列表
下一篇
12.13 Zirconia layering
技師端的拍照紀錄
- 染 - 色
12.13 Zirconia layering
上一頁
TOP
回首頁
電話
LINE
FB