釉質牙體技術所-仿真牙,台北仿真牙,萬華仿真牙
關於釉質
About
服務項目
Service
聯絡我們
Contact
最新案例
CASES
案例分享
案例分享
首頁
>
最新案例
>
案例分享
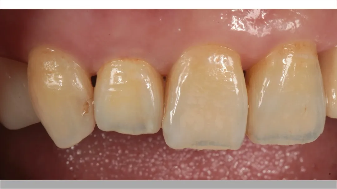
> 12.22 - Zirconia layering
最新案例
CASES
案例分享
12.22 - Zirconia layering
分享到
12.22
-
Zirconia layering
-
#釉質
#dental
#dentallab
#牙齒換新
#牙技
#歯科技工士
#假牙贋復
上一篇
回列表
下一篇
12.13.14 氧化鋯燒瓷 & 全鋯冠
41 - 唇側燒瓷
- 染 - 色
釉質牙體技術所
上一頁
TOP
回首頁
電話
LINE
FB