首頁 > 最新案例 > 案例分享 > - zirconia layering - 唇側燒瓷

最新案例CASES

- zirconia layering - 唇側燒瓷

分享到
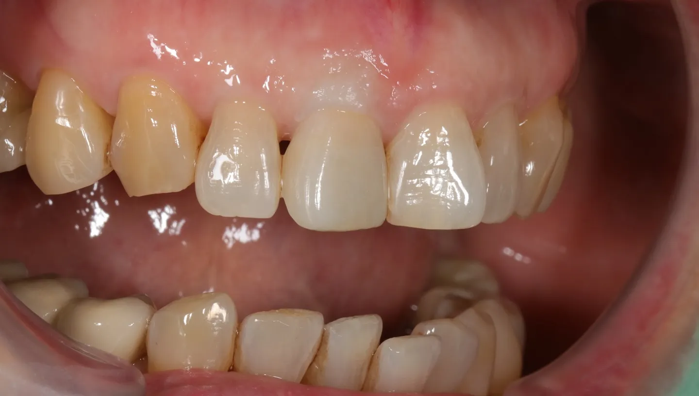
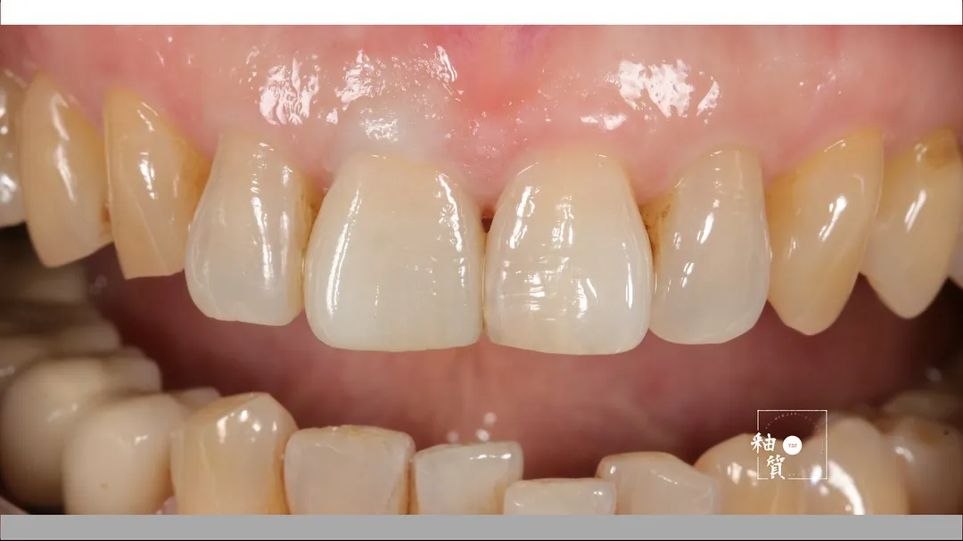
- zirconia layering

- 唇側燒瓷

- 11 Labial side

- 完美很難盡力就好

#釉質
#oneshot
#dental
#dentalzirconia
#dentaltechnican
#牙技
#仿真牙
#dentalteeth
#牙齒
#dentallab
#dentalphotography
 

TOP