釉質牙體技術所-仿真牙,台北仿真牙,萬華仿真牙
關於釉質
About
服務項目
Service
聯絡我們
Contact
最新案例
CASES
案例分享
案例分享
首頁
>
最新案例
>
案例分享
> 41 zirconia layering
最新案例
CASES
案例分享
41 zirconia layering
分享到
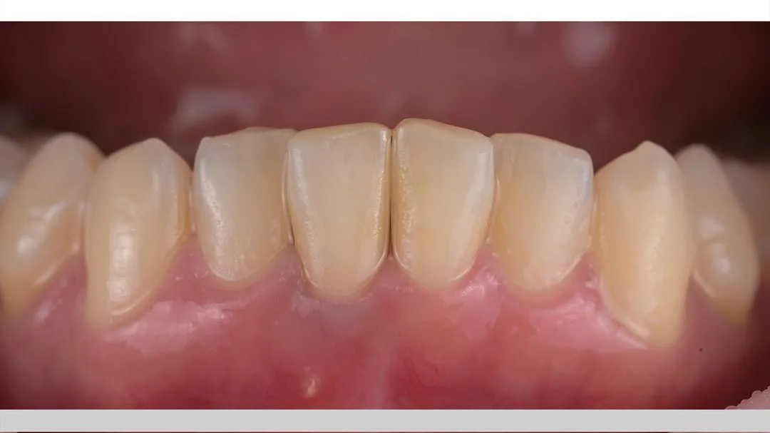
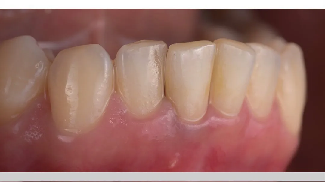
41
zirconia layering
#oneshot
#黑牙根
#dental
#dentalcare
#dentaltechnician
#牙技
#牙套
#牙科
#釉質
#41
上一篇
回列表
下一篇
veneer layering
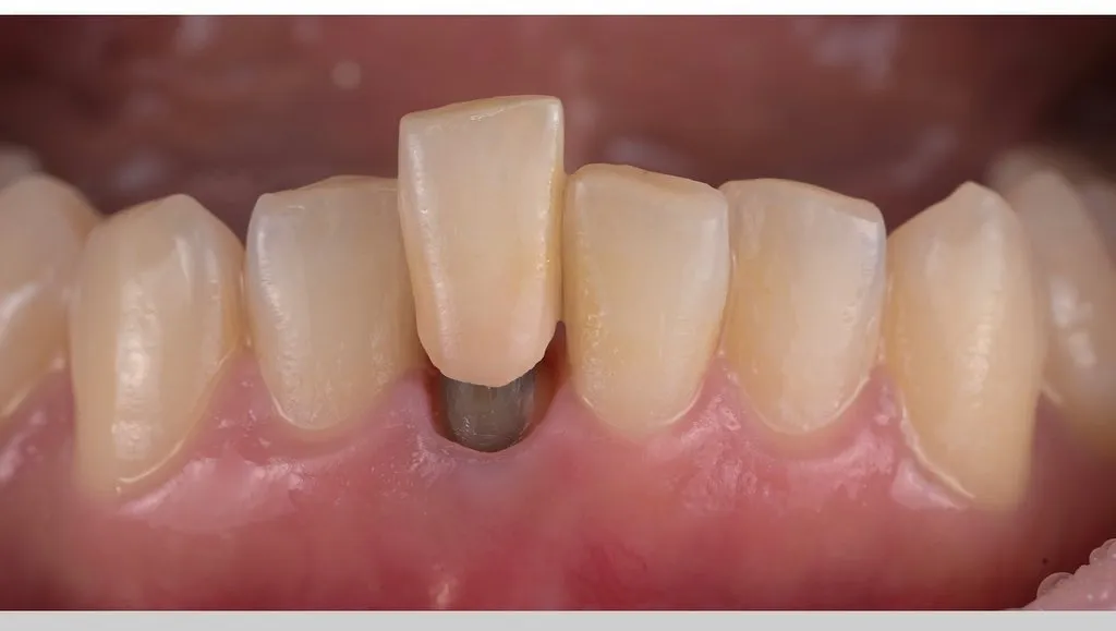
技師端的拍照紀錄
12 x 21 - 唇側燒瓷
釉質牙體技術所
上一頁
TOP
回首頁
電話
LINE
FB