關於我們
為每一位顧客
量身打造專屬的笑容設計
在臺北的心臟地帶,假牙修復學家致力於為每一位顧客
量身打造專屬的笑容設計。
我們相信,一個迷人的笑容,不只是外在的修飾,
而是能夠改變氣質與自信的關鍵。
由 負責人昱良 帶領,我們融合專業技術與美學設計,
專注於 自然、 和諧、 持久 的牙齒修復方案。
在這裡,每一次調整都不只是醫療行為,而是一場關於美感與細節的藝術創作。
我們不只是修復牙齒,而是為你重建笑容與自信。
每一次的細節雕琢,都是為了
讓你在微笑的那一刻,散發最自然的美。
讓笑容成為你的最佳名片,這就是假牙修復學家的使命。
微笑是臉部最動人的表情,而「曲線」則是決定和諧美感的關鍵。
我們會根據顧客的 臉型比例、唇線弧度、牙齒排列 進行全面分析,為您量身打造符合個人特質的微笑線條。
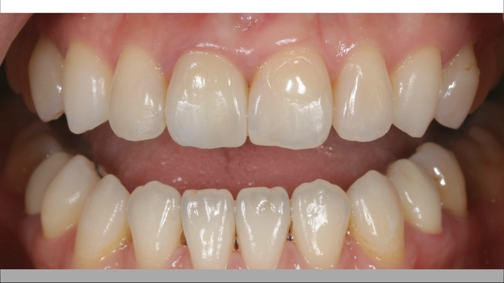
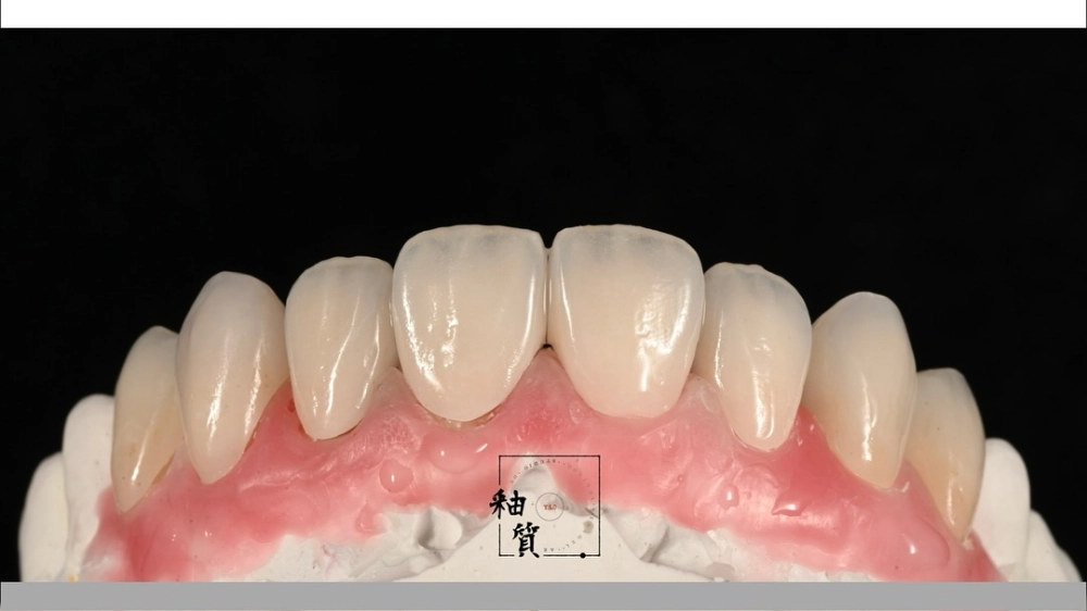
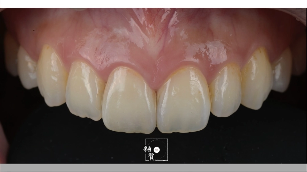
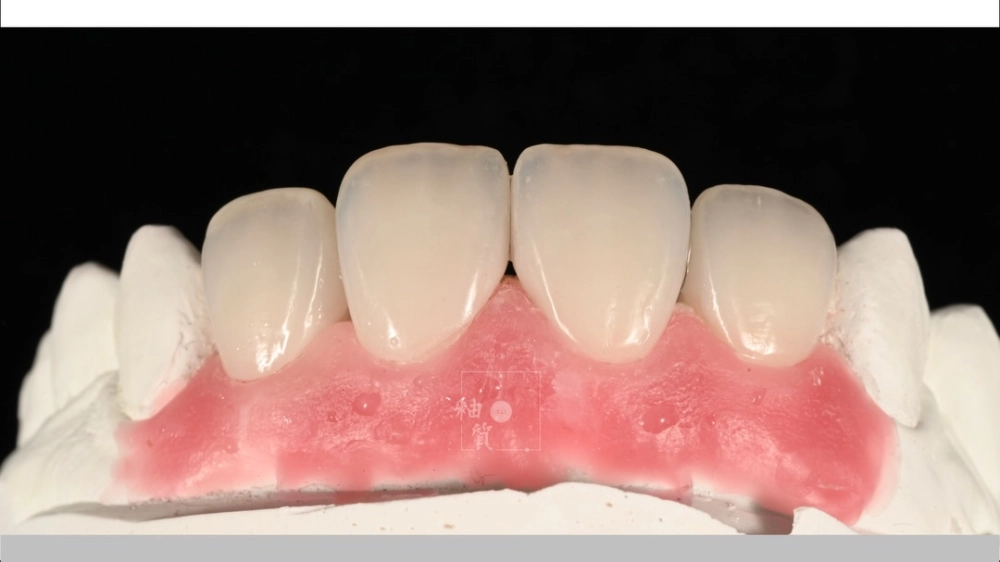
如果牙齒有 泛黃、色澤不均、輕微缺角 等問題,美白貼片是提升笑容質感的理想選擇。我們採用自然透亮的專業材質,經過精準貼合,讓每顆牙齒看起來晶瑩剔透,擁有宛如天生的潔白光澤。
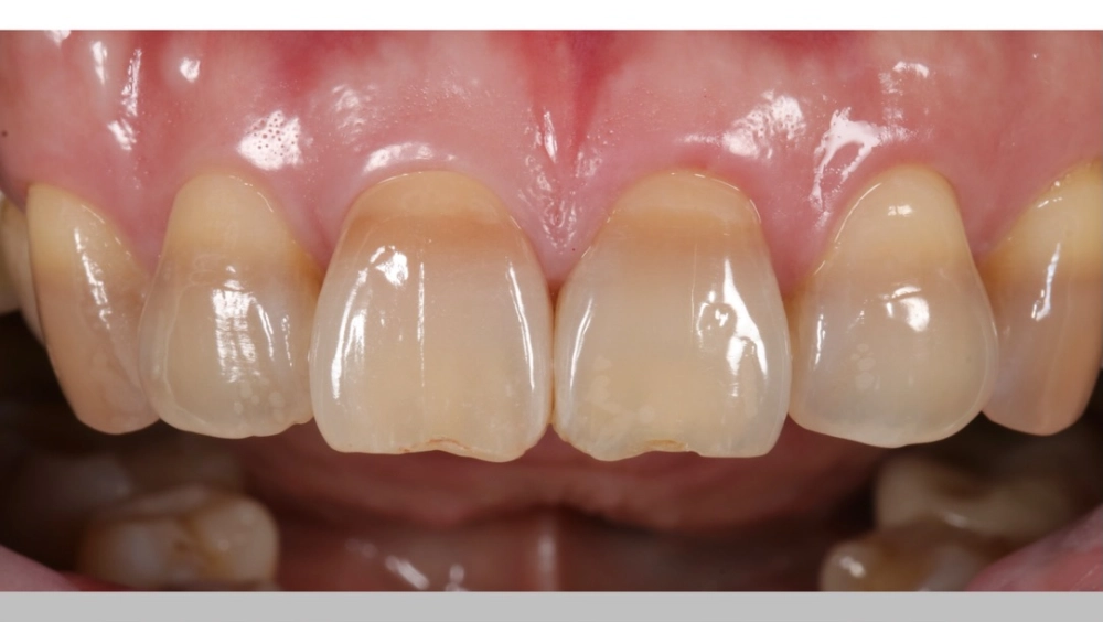
缺牙或牙齒受損,往往不只影響外觀,更會牽涉到咀嚼功能與自信心。
我們的仿真牙修復注重 外觀的真實感 與 使用的舒適度,無論是單顆修復或多顆重建,都能兼顧美觀與實用。
