首頁 > 最新案例 > 案例分享 > 數位製程 - 12。11 labial side layering & stain

最新案例CASES

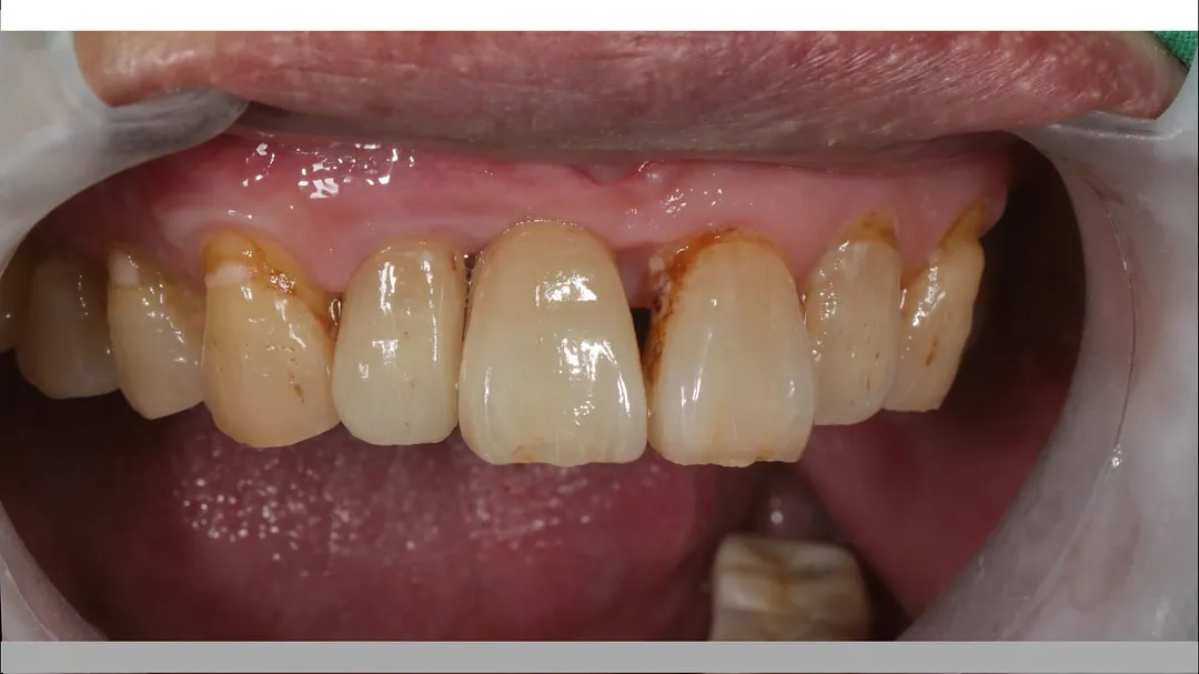
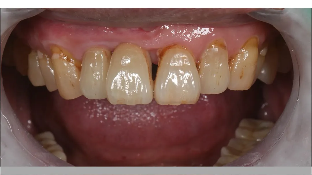
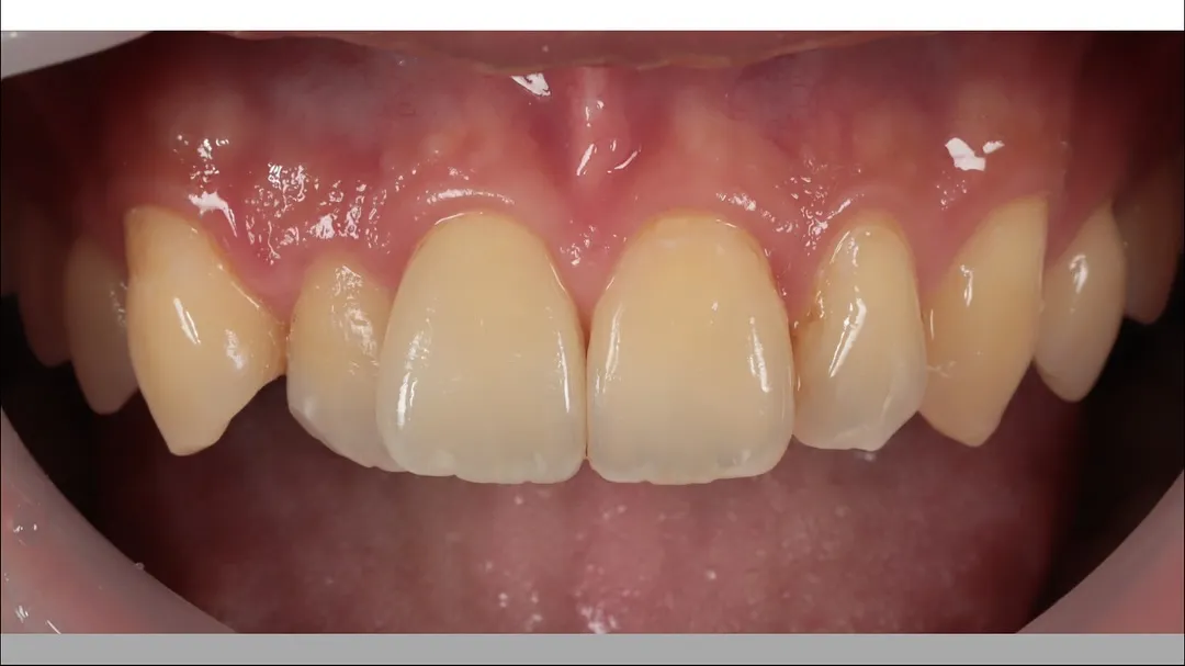
數位製程 - 12。11 labial side layering & stain

分享到
數位製程 - 12。11
-
labial side layering & stain
-
感謝醫師長期以來的支持
-

#釉質
#one
#dental
#牙醫推薦
#dentaltechnican
#牙技
#仿真牙
#dentalteeth
#牙齒
#dentallab
 

TOP