釉質牙體技術所-仿真牙,台北仿真牙,萬華仿真牙
關於釉質
About
服務項目
Service
聯絡我們
Contact
最新案例
CASES
案例分享
案例分享
首頁
>
最新案例
>
案例分享
> - 唇側燒瓷 - 那些修改的事
最新案例
CASES
案例分享
- 唇側燒瓷 - 那些修改的事
分享到
- 唇側燒瓷
- 那些修改的事
- 12.21.22
- 第一次出任務
#釉質
#比色費用
#比色驗證費用
#dental
#dentallife
#修改的事
#牙醫師推薦
#牙技師的日常
上一篇
回列表
下一篇
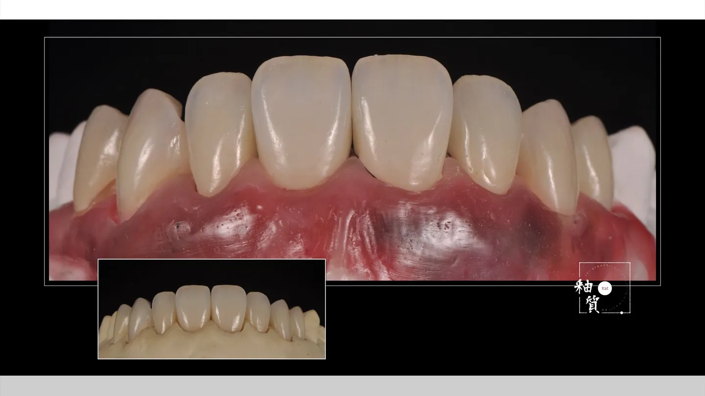
Zirconia layering
早安! 今年開始以新的身份出發
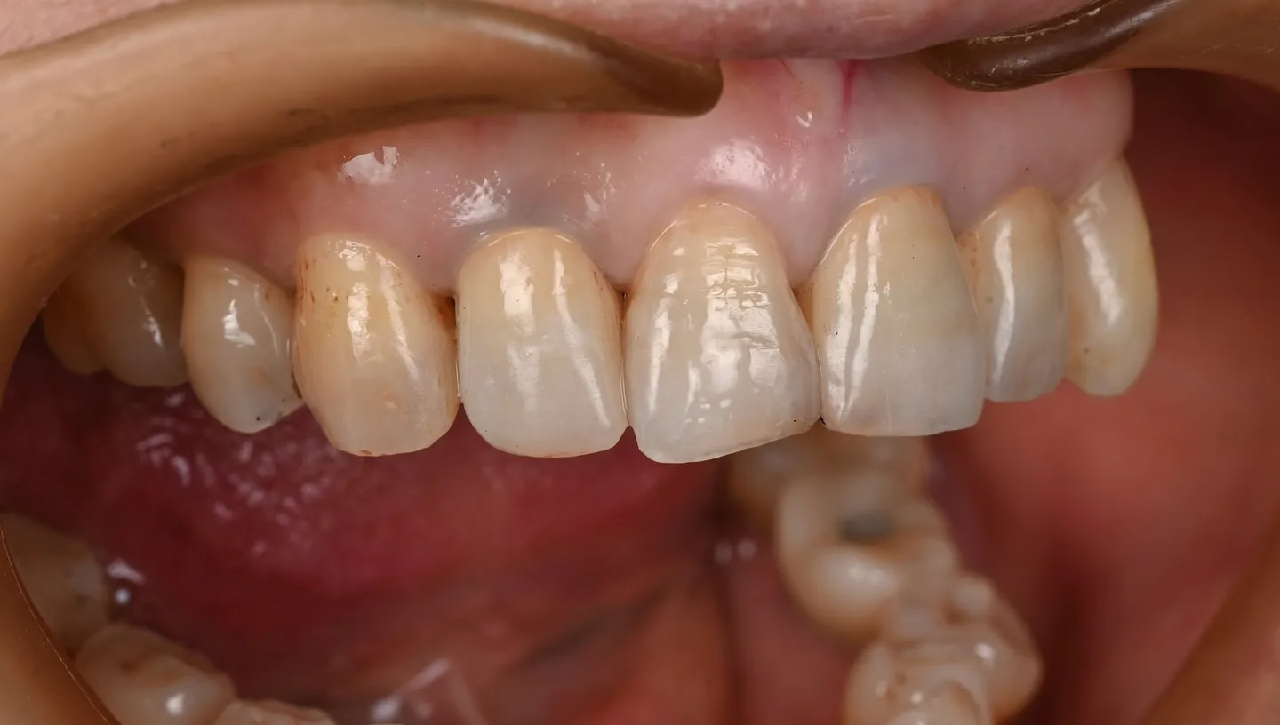
14-24 氧化鋯 燒瓷&染色
21 - 唇側燒瓷
上一頁
TOP
回首頁
電話
LINE
FB