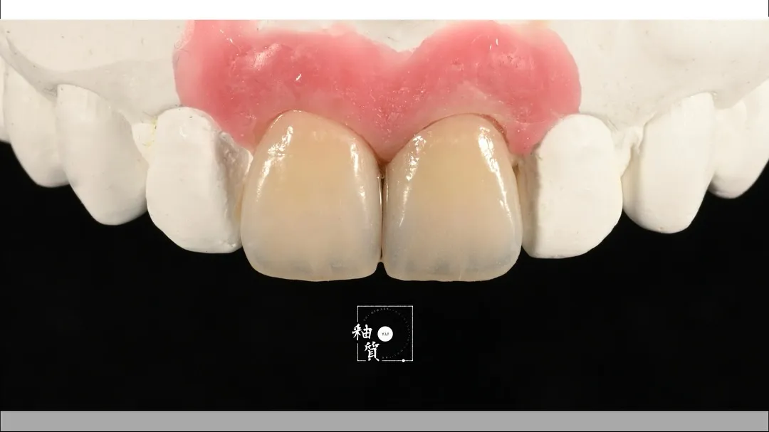
首頁 > 最新案例 > 案例分享 > 11 & 21 veneer layering
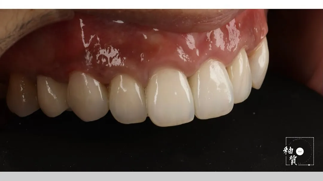
4-4 zirconia layering - 一個非常接近美白牙的案例
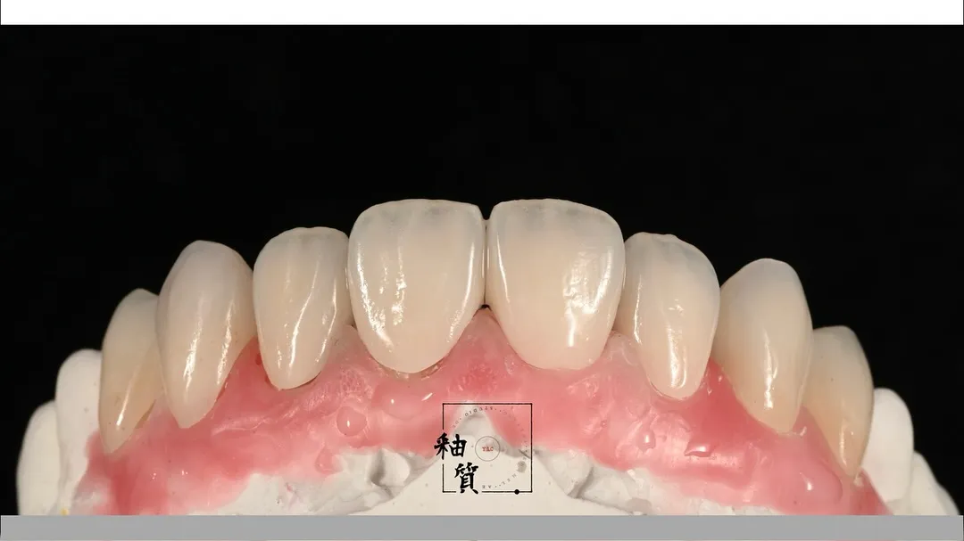
- zirconia layering - 唇側燒瓷
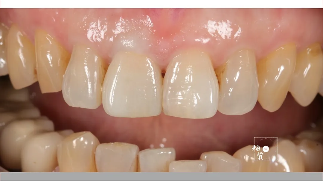
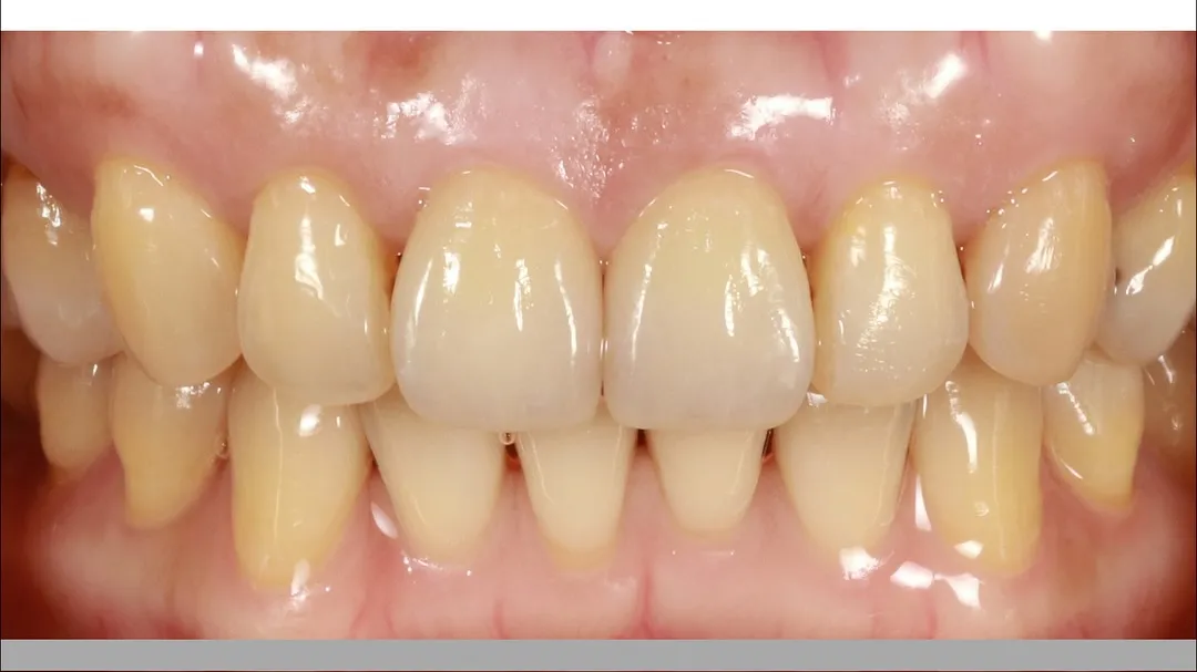
唇側燒瓷 - labial side layering & stain 14-24
幸運的解鎖不同相機成就