首頁 > 最新案例 > 案例分享 > 11.21 - #釉質
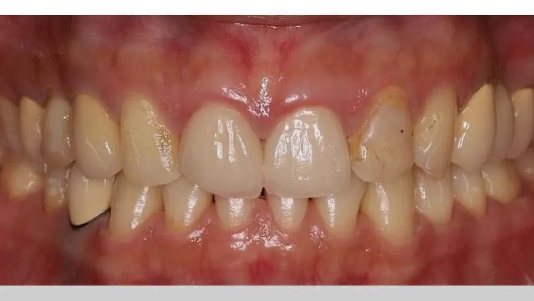
12 x 21 - 唇側燒瓷
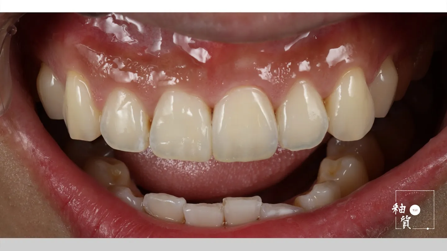
12.13.14 氧化鋯燒瓷 & 全鋯冠
- zirconia layering - 11 Labial side
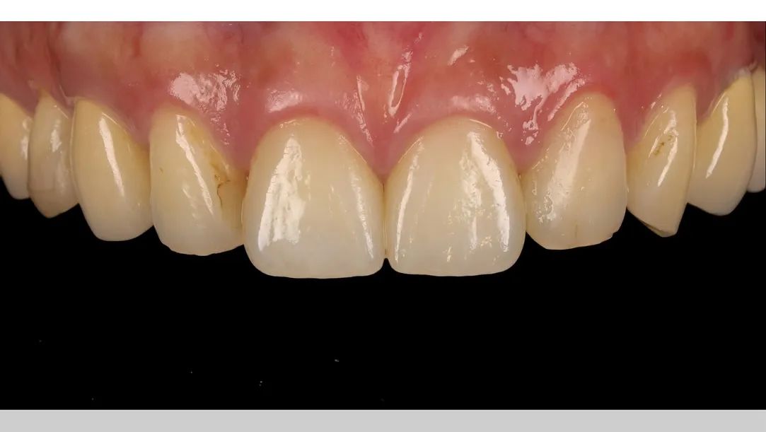
數位製程 - 12。11 labial side layering & stain