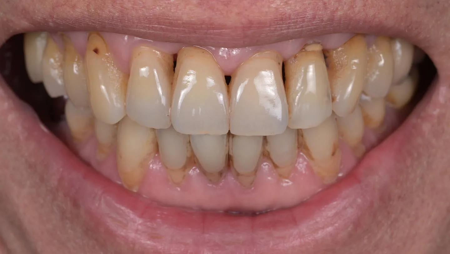
12 x 21 - 唇側燒瓷
12 x 21
-
唇側燒瓷
-
#oneshot
#牙科 #釉質 #仿真牙 #dental #dentalcare #dentaltechnician #牙齒 #牙技 #牙技日常 #dentallab #dentalart
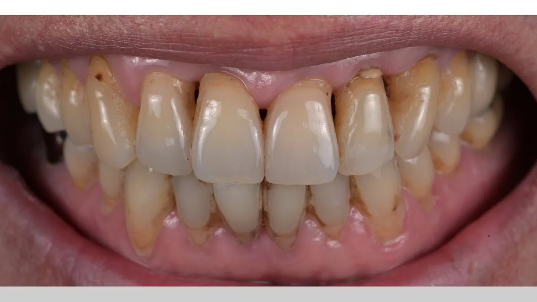
-
唇側燒瓷
-
#oneshot
#牙科 #釉質 #仿真牙 #dental #dentalcare #dentaltechnician #牙齒 #牙技 #牙技日常 #dentallab #dentalart
