釉質牙體技術所-牙技所,牙齒修復,台北牙技所,台北牙齒修復,萬華牙技所
關於釉質
About
服務項目
Service
聯絡我們
Contact
最新案例
CASES
案例分享
案例分享
首頁
>
最新案例
>
案例分享
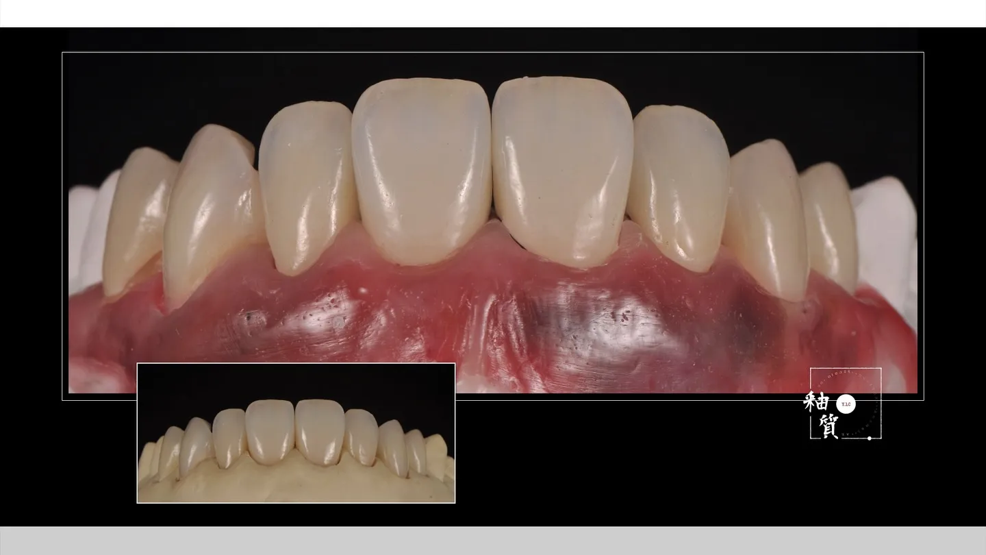
> 14-24 氧化鋯 燒瓷&染色
最新案例
CASES
案例分享
14-24 氧化鋯 燒瓷&染色
分享到
14-24
-
氧化鋯
-
燒瓷&染色
#dentalwork
#微笑曲線
#dentalcrowns
#zirconia
#氧化鋯全瓷冠
#牙肉
#牙醫
#牙齒美容
上一篇
回列表
下一篇
12.13.14 氧化鋯燒瓷 & 全鋯冠
veneer layering
41 zirconia layering
熱愛你的工作
上一頁
TOP
回首頁
電話
LINE
FB