釉植牙體技術所-牙技所,牙齒修復,台北牙技所,台北牙齒修復,萬華牙技所
關於釉質
About
服務項目
Service
聯絡我們
Contact
最新案例
CASES
案例分享
案例分享
首頁
>
最新案例
>
案例分享
> 21 zirconia layering
最新案例
CASES
案例分享
21 zirconia layering
分享到
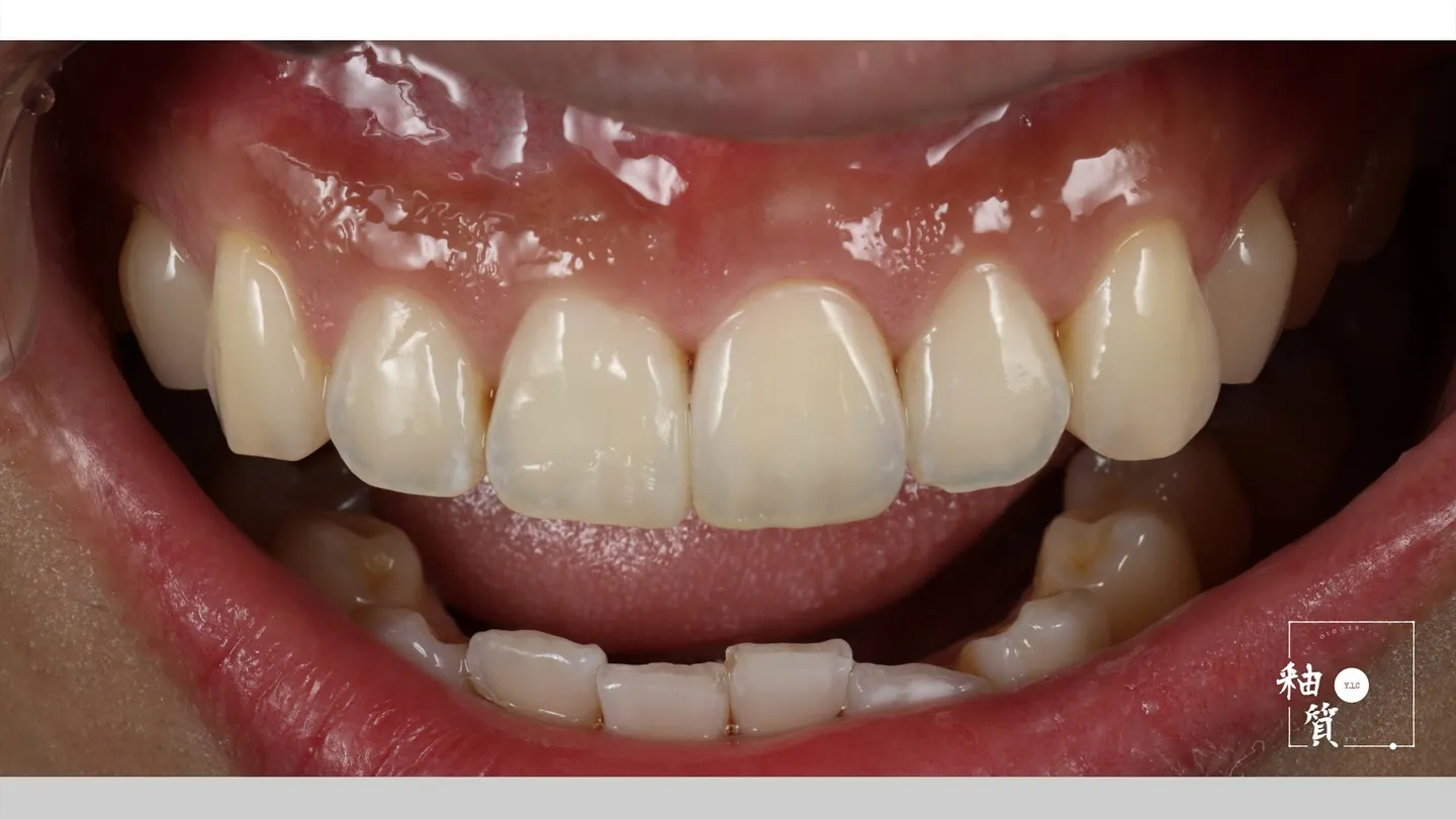
21
zirconia layering
-
感謝
@mldn41
-
#釉質
-
#牙科
#biomimesis
#dental
#21
#singlecrown
#lightroom
上一篇
回列表
下一篇
12.13.14 氧化鋯燒瓷 & 全鋯冠
- 染 - 色
是一種投資
11 & 21 veneer layering
上一頁
TOP
回首頁
電話
LINE
FB