首頁 > 最新案例 > 案例分享 > Zirconia layering
11 zirconia layering - 專注於每個細節的匠心精神
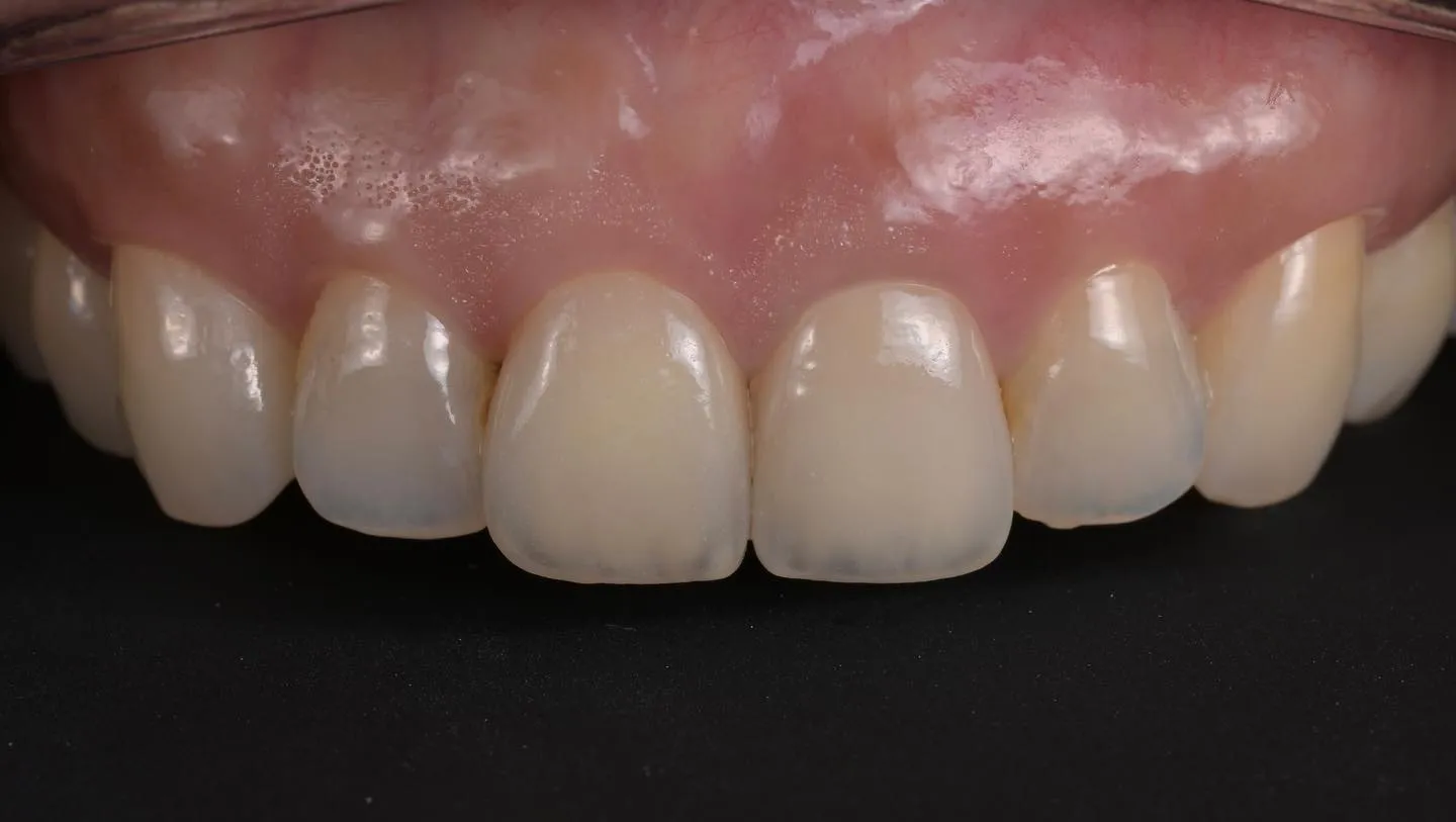
11 & 21 veneer layering
日常工作 46.Press
- zirconia layering - 唇側燒瓷