首頁 > 最新案例 > 案例分享 > Zirconia layering

最新案例CASES

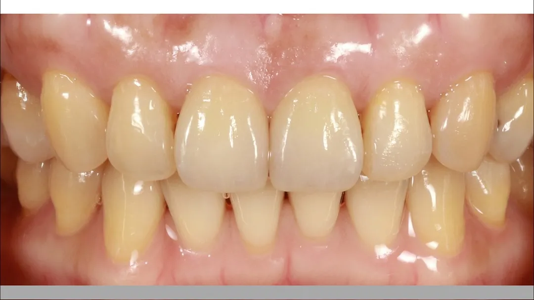
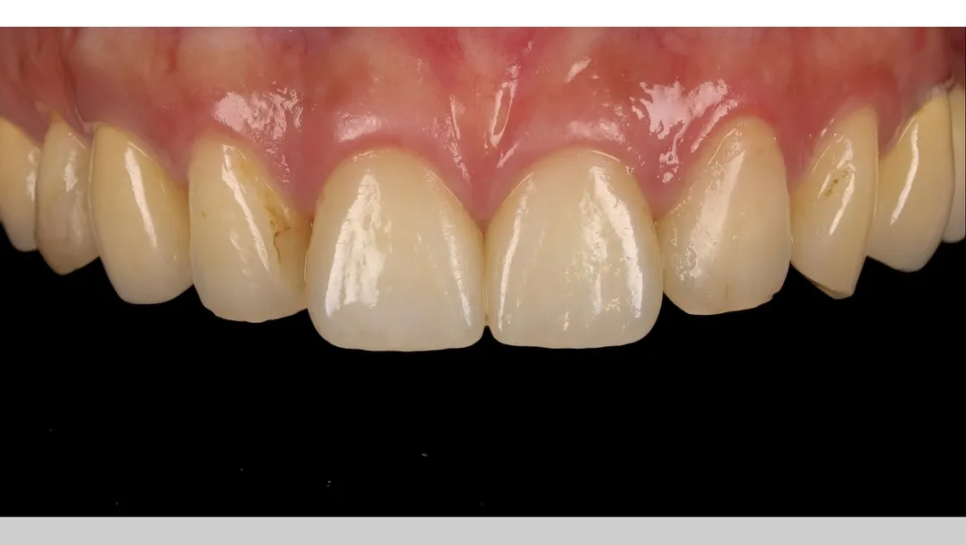
Zirconia layering

分享到
TOP